肺鳞癌vs肺腺癌:这两种最常见肺癌,差别比你想的大!
发布日期:2026-01-09 09:40:00分类:肿瘤科普
在所有肺癌中,肺鳞癌和肺腺癌占了绝大多数,两者加起来约占肺癌总数的70%-80%。但它们的发病人群、症状表现、治疗方式却大相径庭。
今天就和大家把这两种常见肺癌讲透,帮你避开认知误区,早了解、早防范。
01 什么是肺鳞癌、肺腺癌?
简单来说,肺鳞癌和肺腺癌都是非小细胞肺癌(肺癌主要分为小细胞肺癌和非小细胞肺癌,后者占比更高),核心区别在于癌细胞的起源和形态不同:
肺鳞癌:起源于肺部支气管黏膜的鳞状上皮细胞,癌细胞形态像“鳞片”一样,多发生在肺部的中央区域(靠近主支气管、肺门),所以也叫"中央型肺癌"。

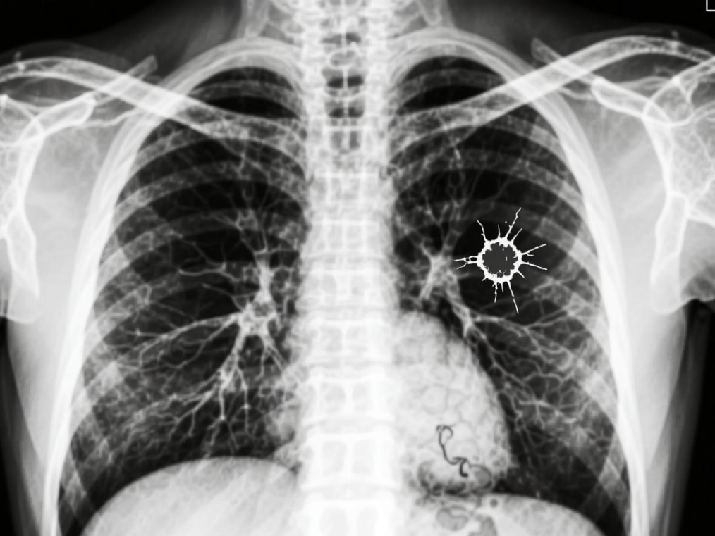
肺腺癌:起源于肺部支气管黏膜的腺上皮细胞,癌细胞能分泌黏液,多发生在肺部的周围区域(靠近肺的边缘),故而也称之为“周围型肺癌”。

形象点说,肺鳞癌更像长在肺部“主干道”附近的肿瘤,而肺腺癌更像长在肺部“分支小路”末端的肿瘤位置不同,后续的症状和检查发现难度也会不一样。
02 核心差异大比拼:一张表分清两者

03关键提醒:这两类人都要警惕肺癌!
通过上面的差异能看出,肺鳞癌和肺腺癌的高发人群不同,对应的预防和筛查重点也不一样:
警惕肺鳞癌:吸烟人群必看
肺鳞癌和吸烟的关联度极高,长期吸烟(包括一手烟、二手烟、三手烟)的人,患肺鳞癌的风险是不吸烟者的10倍及以上。此外,长期接触粉尘、石棉、重金属的人群(如矿工、建筑工人),也容易患肺鳞癌。
这类人群的预警信号:如果出现持续1个月以上的刺激性咳嗽、痰中带血丝或铁锈色痰、胸痛,一定要及时去医院检查,不要当成"支气管炎"拖延。
警惕肺腺癌:不吸烟女性别忽视
很多女性不吸烟却患上肺癌,大概率是肺腺癌。目前认为,肺腺癌的诱因可能包括:二手烟/三手烟暴露、厨房油烟(长期高温爆炒、不通风)、空气污染、遗传因素等。
这类人群的预警信号:因为早期无症状,所以定期筛查比等待症状更重要。如果出现不明原因的胸闷、气短、体重下降,或者转移相关症状(如关节痛、头痛),要警惕晚期肺腺癌的可能。
04 无论哪种,早期筛查都是“救命关键”
肺癌的预后和分期直接相关,早期肺癌(I期)5年生存率可达60-80%以上,而晚期肺癌(IV期)5年生存率不足10%。因此,无论你是吸烟人群还是不吸烟人群,针对性的早期筛查都能降低死亡率。
40岁以上人群
尤其是长期吸烟、有肺癌家族史、长期接触粉尘/油烟的高危人群,每年做1次低剂量螺旋CT(辐射剂量低,准确性高,能发现早期微小肿瘤)。
吸烟人群
如果出现咳嗽、咯血等症状,除了CT,还可以做纤维支气管镜检查,直接观察气道内的病变,同时取组织活检确诊。
不吸烟女性
如果CT发现肺部周围有小结节,不要恐慌,但要定期随访(遵医嘱3个月、6个月或1年复查),必要时做穿刺活检明确性质。
05 肺癌≠"绝症",精准应对是关键
很多人一听到"肺癌"就觉得没救了,但其实随着医学技术的发展,无论是肺鳞癌还是肺腺癌,都有相对应的治疗手段,关键是要"早发现、早确诊、早治疗"。
另外要纠正一个误区——不吸烟不代表不会得肺癌,吸烟也不是只会得肺鳞癌。每个人的身体状况不同,不能仅凭生活习惯判断风险。与其纠结"自己会不会得",不如主动做好筛查;如果出现疑似症状,不要拖延,及时就医。把健康掌握在自己手里,才是最靠谱的选择!
抗癌路上的朋友们,加油!
如果您被癌症的阴霾所困扰,想改变“癌状态”或是有肿瘤方面的问题,需要辨证、开方、用药指导,都可以点击下方留言详细说明你的情况,寻求帮助。
李忠教授“癌状态”工作室专家每年接诊无数肿瘤患者,治疗几十种良性/恶性肿瘤:如肺癌、胃癌、乳腺癌、肝癌、食管癌、肠癌、甲状腺癌、肾癌、胰腺癌 、子宫癌、卵巢癌、脑瘤、淋巴瘤、前列腺癌、膀胱癌、鼻咽癌、牙龈癌、胸腺癌、舌癌、腮腺癌、白血病、横纹肌肉瘤、多发性骨髓瘤、骨肿瘤、恶性黑色素瘤、小儿神经母细胞瘤等。以及各种癌前病变,如息肉、肌瘤、囊肿、结节、增生、各种炎症等,提前防治癌的发生!
相关推荐:
